お知らせ
- 2026/02/05
- ホームページをリニューアルしました
ブログ
- 2023/08/12
- 本当は歯石はたまらなくていいものなのですよ!っと伝えたらビックリされました! 皆さんはどう思います?
- 2023/07/21
- 82才女性が【入れ歯を外すのは寝る時だけ!】ってすごい!
- 2023/07/12
- 口腔ケアとメンテナンスが人類を救う‼
- 2023/07/12
- 口が乾くと歯周病になりやすいから危険なのです(ドライマウス)!
- 2023/06/26
- 歯周病になっても頑張って歯を残したいんだ!!(心の叫び)
- 2023/06/23
- 歯周病がひどい方の口はドブのような腐敗臭がするって本当⁈
- 2023/06/20
- 【歯石の真実】の姿を知ってますか?
- 2023/06/19
- 歯を守るメインテナンスで我々の考え方を知ってますか?
- 2023/05/31
- すべての人にマネしてほしい!(80才でも24本も歯が残る):メンテナンス中でも自宅でやっている事は?
- 2023/04/23
- 【歯垢(プラーク)が増えるとどうなるのか】って本当に知ってますか⁈
あなたの選んだ歯科医院で
将来の歯や歯ぐきが決まります

歯科医院においてあなたにすすめる歯科治療は歯科医師によってすべて違うと言って過言ではありません。100歯科医院あれば100歯科医院すべて違うのです。歯科診療はどこも同じ」ということはありません!
そして長島歯科クリニックの考える治療の目的とは、一度治した歯が生涯続くことです。皆さんの口の中の状況が良くなって、ずっと長持ちしてもらう事が患者さんや我々医療者も幸せなことなのです。
疑問を持ったまま
治療を受けても大丈夫ですか?

当院では治療を始める前に、必ず患者様のお悩みやご不安を「お聴き」いたします。
「聞く」とは耳で聞くことですが、「聴く」とは心で聞くこと。目に見える症状だけでなく、患者様の内側にある悩みや希望を汲み取り問題解決にあたらなければ、真にご満足いただける治療はできません。当院では「聴く」カウンセリングを実践し、患者様の抱えているお悩みや不安に寄り添った歯科診療を実践してまいります。
従来型である3つの
歯周病治療の限界について

従来型の歯周病治療である定期検診、外科手術、薬物療法には限界があります。
定期的な歯石除去では、24時間以内に再形成されるプラークには対応しきれず、手術をしても患者さんの意識が変わらなければ再発してしまいます。薬物療法も副作用や耐性、費用面の問題があり、根本的な解決にはなりません。
本気で歯を守りたいと思っていらっしゃる方にその方法をお伝えします。
本気で取り組む、
当院のむし歯・
歯周病治療プログラム
1時間×5回=5時間。
私たちが本気でむし歯・
歯周病から守ります

患者さんとの関わり方
通常は歯科医師中心のコミュニケーションだと思いますが、当院では患者中心のコミュニケーションをとっています。
結果として、治療後に、悪くなったら歯科医院に行けばいいと言う思いから、本来の「自分の歯は自分で守ることができるんだ」という気持ちに変わっていきます。
このような関係でありませんと「患者さん特有の私の歯周病」は解決しないのが現実なのです。
歯周病治療は患者さんの力が75%です。本気で歯を守りたい方に、本気で守り方をお伝えします。

精密検査の徹底
口全体の総合的な精密検査に基づく治療計画によってはじめて快適なお口の健康を、末長く得ることが可能になります。
また、この検査は私達医療者が一方的にあなたのお口の状態を淡々と検査するのではなく、私達と一緒にあなたの現在の状態を把握して今まで悪化してきた原因を探求していきます。
そのため1回1時間、3回の来院で検査、診査、診断、現状のプレゼンテーション、治療計画の提示を行います。

健康を生涯維持する
むし歯・歯周病治療プログラム
精密検査が終了した後は本格的な歯周病治療プログラムに入ります。1回1時間、計5回の来院で進めます。
過去20年間、約3,000名の患者様が受けた歯周病治療プログラム。ただ歯を磨くことを練習するだけでなく、我々スタッフがあなたのお口に健康が戻り、その健康を生涯維持することができるように知識と情報を提供するものです。
治したのにまた悪くなり、また治す。その繰り返しの結果、歯の神経を失ったり、歯が欠けてしまったり、気が付くと歯を失っているのです。歯周病になっているということはあなたのお口の中が火事になっているのと同じになっているのです。

使用機械・器具のこだわり
当院では、歯周病治療においてNd:YAGレーザーやP-MAXなど高性能な機器を導入し、歯ぐきや歯をできるだけ傷つけずに、組織の回復と改善を図ります。
レーザーにより歯ぐきの再生を促進し、P-MAXでは高精度な歯石除去が可能です。また、EO水やステリHCIOなどの殺菌力に優れた機能水を活用し、歯周ポケットや根管内を効果的に洗浄・除菌。
すべての処置において、再発を防ぎ、長期的な安定を見据えた機器選定を行っています。
当院のむし歯・
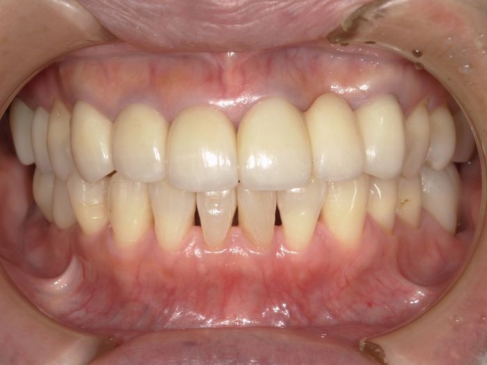
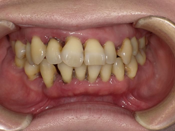
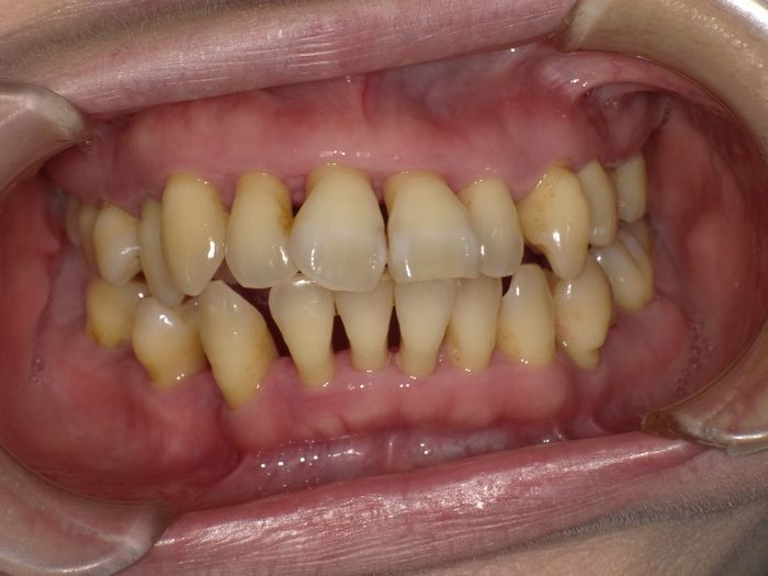
歯周病治療プログラムの症例
| 治療内容 | 行動科学に基づき、「自分の歯は自分で守る」という意識改革や行動変容を促しながら、スケーリングや歯ブラシ・フロス指導を行いました。 |
|---|---|
| 治療期間 | 1.5ヶ月 |
| 治療回数 | 5回 |
| 治療時間 | 計5時間 |
| 治療費用 | 29,500円+税 |
| リスク・副作用 | 歯肉の痛み・出血 |
| 治療内容 | 行動科学に基づき、「自分の歯は自分で守る」という意識改革や行動変容を促しながら、スケーリングや歯ブラシ・フロス指導を行いました。 |
|---|---|
| 治療期間 | 1.5ヶ月 |
| 治療回数 | 5回 |
| 治療時間 | 計5時間 |
| 治療費用 | 29,500円+税 |
| リスク・副作用 | 歯肉の痛み・出血 |
歯周病について

歯周病とは
歯と歯ぐきの境目に歯垢(プラーク)である細菌の毒素によって歯周ポケットの深さ(正常値1~2ミリ)が、歯ぐきの下にある歯を支える骨(歯槽骨)が溶かされて破壊されることにより4ミリ以上になる疾患です。
そして歯を失う原因の第一位はむし歯ではなく、歯周病です。

歯周病の原因
歯周病は主に、細菌による歯垢の蓄積、生体の免疫力の低下、そして生活習慣の影響という3つの因子が関係しています。
歯垢が増えると炎症が進行し歯周ポケットが深くなります。また、加齢や妊娠などにより免疫力が低下すると、抵抗力も弱まります。さらに、喫煙やストレス、不規則な生活なども進行を助長します。

噛み合わせと歯周病
咬み合わせの力によっても歯周病の危険性があります。
そして、咬み合わせの力によって引き起こされる歯や歯周組織(①歯ぐき、②歯を支える骨、③歯根の周りのじん帯である歯根膜、④セメント質)の損傷を咬合性外傷と言います。

歯周病と全身疾患
歯周病の人は1兆個が住みついており、歯ぐきの中の血管にもぐりこんで全身の臓器へ運ばれます。
日本人の死亡原因の2位の心疾患、3位の脳血管疾患、4位の肺炎は歯周病が密接につながっていることがわかってきています。
さらに糖尿病とも互いに影響し合うことから、最近では医科・歯科連携の重要性も高まっています。

歯周病の治療方法
歯周病は、患者さんの努力次第でしっかりと改善へと向かわせることができます。治療方法は大きく分けると下記の2つがあります。
①医療者がクリニックで行うプロフェッショナルケア
②患者さんが自宅で行うホームケア(プラークコントロール)

歯周病治療のQ&A
歯周病のQ&Aでは、検査での確認ポイントや発症の原因、生活習慣や全身疾患との関連性、進行の個人差、遺伝・感染の可能性などを丁寧に解説しています。
喫煙やストレスが与える影響、若年層の発症例、治療後の変化についても詳しく解説しております。
長島歯科クリニックの強み

1. 対話を大切にし、患者さんが
自分の歯を守れるようサポートします
当院では、患者さんとの対話を重視し、診療時間を長めに確保しています。これはコミュニケーションを十分に取り、リラックスして治療を受けていただくためです。十分なコミュニケーションがないと、わかりやすい説明や適切な検査ができず、問題の根本を治療することにつながりません。
「もう歯で苦労したくない・・・」
「時間をかけて丁寧に治療したい・・・」
当院はそんなあなたのための歯科クリニックです。
歯を大切にし、長く健康に保ちたいと願う方にとって、最適なサポートをご提供できると自負しています。

2. 3つの独自メソッドで歯周病から
歯を守ります
歯を失う原因の第1位はむし歯ではなく、年々増加傾向にある歯周病です。20代からも発症する可能性があり、当院ではこれを防ぐための独自のメソッドを提供しています。
①自分の歯を虫歯や歯周病から守る方法である歯周病治療プログラム(約1時間を5回.計5時間)を実施しております。プログラムでは各々の患者さんに合ったプラークコントロール(ブラシ、フロス)の仕方を提案しております。
②口全体の総合的な精密検査に基づく治療計画を立て、効果的な歯垢除去法を指導します。
③Nd:YAGレーザーやEO水などの機械・器具を駆使します。
これらの歯周病治療プログラムで、歯周病からあなたの歯を守ります。

3. 他院での治療後の不調で
お悩みの方が
多く来院されています
患者さんは今痛んでいる所が良くなる事や銀歯(詰め物)が入ることが治療のゴールと思う方が非常に多いです。実は歯を悪くしている原因を除去できなければみなさんの口の健康をずっと生涯にわたって維持し続けることは困難です。
当院の治療のゴール設定は一度治した歯が生涯続くことです。「二度と悪くしないようにすること。」そのために、原因を除去するための第一ステップとして自分の歯を知ることができる精密検査が必要になります。
長島歯科クリニックは、他院や大学病院で治療を行ったけれど、改善しなかった患者さんが多く来られます。他院での対応や治療後の不具合でお悩みのことがあれば、ご相談ください。






