休診日:木曜・日曜・祝日
土曜は17:00で終了となります。(最終予約時間16:30)
第二土曜は16:30で終了となります。(最終予約時間16:00)
初診のお客様は、詳細にお話をお伺いするため、ご予約時間の1時間前にご来院ください。
Blog
2014年1月14日
①先日、美容室のお兄さんと話をしていたら、増毛法の事を聞きました。
増毛法と聞くと「すぐに毛を植える」のでなく、
最初に「何で髪の毛が減って来たのか?の原因論」レクチャーを徹底的にされるようです。
↓
「毛を増やすことより、減らさない事に神経を使う」という事です。
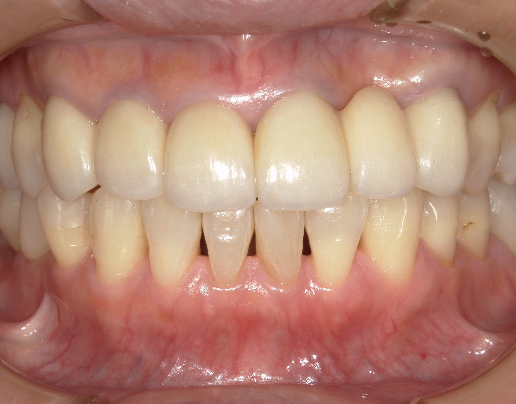
② 全く歯科も同じで、「削ることよりも削らない事に神経を使う」のがいいのです。
しかしながら、
話はしなくてもいいから「すぐに削って治療してくれればいいんだ!歯医者なんだから・・・」と
言われる場合があります。
そういう場合に限って、歯や歯ぐきで苦しみ・悩み何回も治療しているのですね。
そこで、「あれ?何かおかしいな?この治療方法でいいのか?」と気がついてほしいのですが・・・。

ずっと元気な歯を一緒に!
横浜市の歯医者