休診日:木曜・日曜・祝日
土曜は17:00で終了となります。(最終予約時間16:30)
第二土曜は16:30で終了となります。(最終予約時間16:00)
初診のお客様は、詳細にお話をお伺いするため、ご予約時間の1時間前にご来院ください。
Blog
2014年10月30日
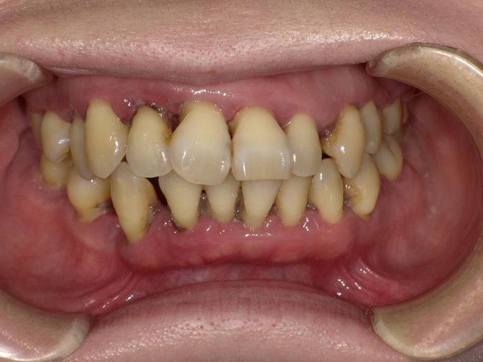
予防プログラム終了後の患者さんのコメント
①何でちゃんと歯ブラシをしているのに、3か月ごとに定期検診に行っているのに虫歯や歯周病になるのが分かった。
②赤染めして、全く歯ブラシで違っていた所をみがいていたのがよく分かった。
③模型ではなく、自分の歯型で磨き方を教えてくれたから当てる角度やフロスの仕方も良く分かり、思っていたのと全然違った。
私:長島からのコメント
①について:自分の口の中の事(詰め物の構造や構造が及ぼす影響)が分かった証なのです。
②について:目で見えますから、自分自身の磨き方を正確に評価できますね。
③について:患者さんも自分の模型だから熱心に指導を受けると思いますよ。
以上の理由から自分で気がついてくれれば、CMやネットでの情報にふり惑わされなく、本当に自分の歯や歯ぐきにとって何が一番大事かが分かるのです。
これは非常に強いですね。 (^v^)

ずっと元気な歯を一緒に!
横浜市の歯医者