一般歯科

診療方針
治療を始めるにあたり、患者さんのお口の状態を詳しく調べ、必要な治療方法について十分に説明します。私は患者さんの価値観や考え方を尊重し、インタビューを通じて現状の問題や将来への不安、治療への期待を伺います。
治療の流れとして、初診時のコンサルティング、主訴の処置と検査、診断と治療、そして定期検診と予防までを包括的に行います。
患者さんと医療者の垣根を取り払い、最適な治療を提供します。
治療の流れ
コンサルティング(初診)
当院では、「歯のコンサルティング」を標榜しています。まず、専用のカウンセリングスペースにて患者さんの症状、ご要望等をうかがいます。その際、歯の仕組みや今後の進め方などをじっくりと話し合います。
主訴の処置・検査
痛みがひどい場合や緊急の処置が必要な場合は、その部分を緩和する処置を行います。また、レントゲンなどを使用し、必要な情報を収集します。病巣の状態を多角的に確認し、治療箇所を特定していきます。
診断・治療
検査内容を基に現状と治療の方針をご説明し、より具体的な治療計画を立てます。いくつかの治療方法がある場合には、そちらもご提示します。
治療の際には十分なご説明をいたしますが、気になる点はお気軽にご質問ください。
定期検診・予防
虫歯や歯周病にならないために最も大事なことは日々の「予防」です。半年に1度はご来院していただき、歯周組織・歯・修復物のチェックを行うことをおすすめします。
当院で行う虫歯治療について

長島歯科クリニックでは、歯を残すための治療方法として
①MI治療
②レーザー治療
③予防治療
を実施しております。
MI治療方法とは、Minimum Interventionという英語の略で、日本語で言いますと削る範囲を最小限にする治療の考え方を取り入れております。
従来通りの治療では「虫歯になったら歯を削って詰める」また悪くなると「神経を取って大きな銀歯が入る」さらにダメになると「抜歯して入れ歯」という一般的な悪いパターンに陥ります。

歯と詰め物(銀歯等)に段差ができると虫歯が再発します
そこで長島歯科クリニックでは、詰め物の精度にこだわっております。精度とは歯間ブラシではなくデンタルフロスで歯垢管理(プラークコントロール)が出来るレベルです。
それにはZEISS社の双眼ルーペ(4.5倍)とLED照明を併用使用しております。(結構重たいです、1時間の使用で首が痛くなります。)
①MI治療の考え方で出来る限り最小限に削って、
②レーザー治療で弱まっている歯に充てて虫歯になりにくくして強化
③予防歯科で虫歯や歯周病の発生を防いでおります。
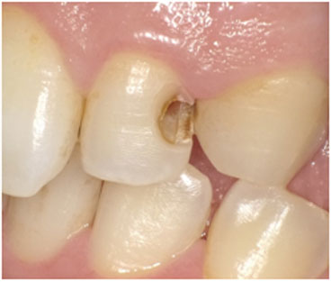
MI治療の最小限の削る方法の一例

大きな虫歯

齲蝕(虫歯)検知液をつけて削る範囲を特定します

虫歯部分だけを選択的に削れるので、削り過ぎ防止になります

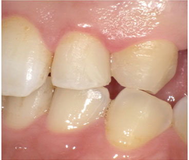
完成


