レーザー治療

レーザー治療について

当院では、歯周病治療(ペリオ)にレーザーを使用しております。
この治療を行うためには、エピオスシステム(高濃度次亜塩素酸水)と、Nd-YAGレーザーの2つが必要になってきますが、Nd-YAGレーザーを持っている歯科医院は珍しく、横浜市南区では、唯一取り入れている医院です。
こんな方に特に推奨します

- 歯ぐきが深くて、あらゆる場所を手術しなければいけない方
- 糖尿病や免疫力低下(アトピー)、リュウマチなどで、手術ができない方
- これ以上、手術をすると抜歯になってしまう方
- 歯ぐきを切られるのが嫌な方
- 歯周ポケットが5ミリ以上ある方(患者さん自身ではプラークコントロールが難しい部位)
レーザー治療でできること
1.歯周炎・歯肉炎を痛みも少なく快適に健康な歯肉に近い状態に戻します
なかなか治らない歯周病もレーザー光で強力にクリーニングし回復を促進します!
2.健全な歯をより虫歯になりにくい、10倍強く丈夫な歯にします
虫歯になりにくくするために、レーザー光とフッ素の力で最新の虫歯予防をしましょう!
3. 初期・中期の虫歯を削らずに楽に治します(1回で済むことが多いです)
削らない歯が一番強いんです!だから余分に健康な歯を削らず虫歯菌をクリーニングしましょう!
4. 深く大きな虫歯でも神経を取らずに済むケースが増えてます
今まではとらざるを得なかった神経でも、残せる可能性がでます!
5.虫歯終了後の再発を限りなく予防します
虫歯菌をレーザー光でクリーニングした後は虫歯になりにくい強い歯になっています!
6.歯のしみる感覚(知覚過敏症)を緩和することが出来ます
しみる箇所をレーザー光の作用により遮断することで、感じ方が和らぎます!
7. 歯の根の治療の際、治療後の痛みを和らげ治療結果もよりよい状態が期待できます
従来の方法に加えて高度なレーザー光の殺菌力で治癒促進効果が期待できます!
8. 入れ歯が当たって痛い箇所の痛みを緩和します
とにかくお口の中の痛みにはレーザー光による作用により、痛みを和らげてくれます!
9. 口内炎の痛みを和らげます
口内炎を殺菌し炎症を鎮めるとともに痛みを軽減してくれます!
10. 口を開けるときのあごの痛みを和らげます
いわゆる顎関節の痛みです。痛みが和らぐことで症状が快方に向かうように促進します!
11. 歯の漂白(ホワイトニング)を効果的に行うことが出来ます
レーザーホワイトニングで自然に美しい歯で素敵な笑顔を!
12.黒ずんだ歯ぐきの色(メラニン)を健康的で自然な色に戻します
レーザー光の作用でメラニンを除去し、術後も快適、食事もOK。自然な歯肉が蘇ります!
口腔内の病気(虫歯・歯周病など)の主たる原因は、感染症(虫歯菌・歯周病菌)によるものであり、再発を予防するための定期健診と定期的な除菌クリーニング、毎日の歯ブラシ・フロスなどによる歯垢の管理が必要です。(レーザー治療は保険適用外診療になります)
歯周病だけでなく虫歯にも使えるレーザー

虫歯とは虫歯菌が作り出す酸によって歯が溶かされる事で発生します。レーザーにより 歯の表面を照射し、フッ素を塗ることで酸に溶けにくい歯をつくることができます。レーザーとフッ素で強化した歯は通常の歯よりも約10倍虫歯に対して強くなります。しかし全く虫歯にならないわけではありません。毎日のブラッシング、歯のケアが大切なことに変わりはありません。
お口の中は食事をしたり、砂糖の入った飲み物を飲んだりすると酸性が強くなり、歯の表面のエナメル質が溶け始めます。Nd:YAGパルスレーザーでエナメル質を照射しフッ素を塗ると、通常より10倍ほど酸に溶けにくくなります。また虫歯になりかけの部分はこの方法で元通りのきれいな歯に戻すことができます。
効果と科学的裏付け
| 効果 | 科学的裏付け |
|---|---|
| 殺菌作用が非常に強い | 主要菌を最大99.8%除去 |
| 歯周ポケットの縮小 | SRP単独より改善量が大きい |
| 出血の減少 | Nd:YAG併用で有意に低下 |
| 組織再生の可能性 | LANAPで新付着形成の報告 |
| 深いポケットで特に有効 | ≧6mmで改善量が大きい |
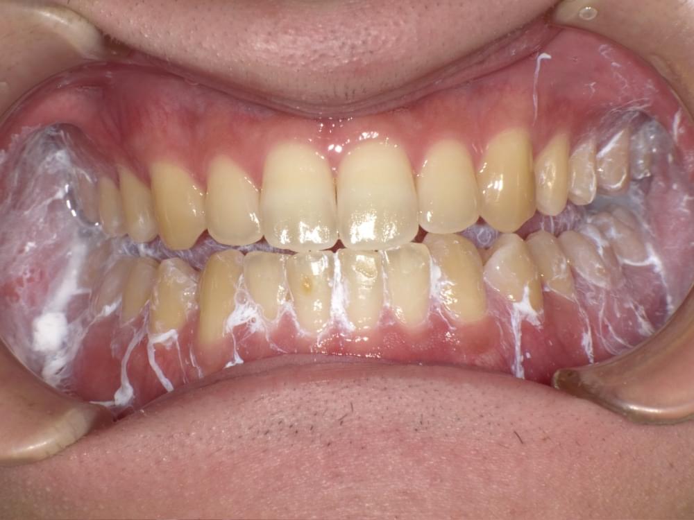
レーザー治療例
レーザー治療の前後です。白いのは酸化チタンの乳液です。
表面を溶岩状にすることで虫歯が出来にくくなります。


治療の概要
治療内容
虫歯予防のためのレーザー治療での処置。
レーザーの光とこの乳液(酸化チタン)で歯の表面が虫歯菌による侵入から守ってくれます。
あくまでも日頃の歯垢管理(プラークコントロール)が主体的であることは言うまでもありません。
治療期間・回数
高校生までは6ヶ月に一度が望ましい・1回
費用
3,000円+税/歯
リスク・副作用
歯科で使用されるレーザーは一般に安全性が高い治療機器ですが、正しい条件と技術で使用されない場合には以下のようなリスクや副作用が生じる可能性があります。
⇓
水冷必須。
水が不足すると火傷や歯の痛み
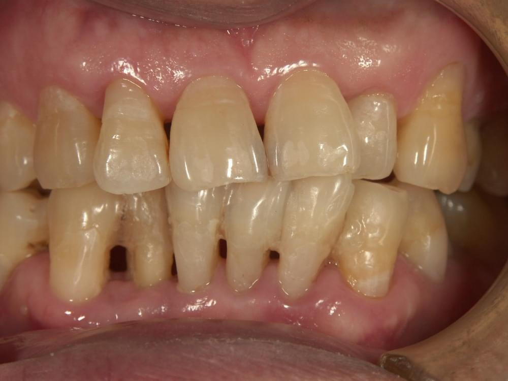
レーザー治療例2


治療の概要
治療内容
レーザーによる歯周病のメンテナンス。
※歯周ポケットが5ミリ以上の深い箇所のメンテナンスに使う場合が多いです。
使用する条件は患者さん自身でフロスや歯間ブラシを行っている方に限ります。
治療期間・回数
1ヶ月・1〜2回
費用
3,000円+税/歯
リスク・副作用
歯科で使用されるレーザーは一般に安全性が高い治療機器ですが、正しい条件と技術で使用されない場合には以下のようなリスクや副作用が生じる可能性があります。
⇓
過熱・火傷の可能性
目の損傷(保護必須)


