当院の歯周病治療プログラム

他の歯科医院との違い
過去20年間、約3,000名の患者様が受けた当院の歯周病治療プログラム。初診 (1時間)・精密検査(3時間)を経た後、約1時間を5回、計5時間を使って丁寧に教えていきます。
おそらく、日本中探しても、ここまで丁寧に「あなた自身の歯の守り方」を教えている歯科医院はいないでしょう。
また行動科学に基づき、「自分の歯は自分で守る」という意識改革や行動変容を促しながら、スケーリングや歯ブラシ・フロス指導を行っているのが最大の特徴です。
当院の歯周病治療は、ほかの歯科医院と何が違うのか?大きくは次の3つの点で他と異なります。
①患者さんとの関り方が違う
②治療の流れが違う
③使用する機械・器具が違う
この3つの違いによって、患者さんは次のことが可能になります。
- 自分の歯は自分で守ることができるようになる
- 納得しながら治療を受けることができる
- 最新機器による効果の高い治療を受けることができる
こちらでは、当院の歯周病治療システムについて1つずつ説明していきます。
①患者さんとの関り方が違う
患者様との関わり方も異なります。
下に図で説明したように、通常は歯科医師中心のコミュニケーションだと思います。しかし、当院では患者中心のコミュニケーションをとっています。
結果として、治療後に悪くなったら歯科医院に行けばいいと言う思いから、本来の「自分の歯は自分で守ることができるんだ」という気持ちに変わっていきます。


結果として、患者さんは従来型の「医療者:診てやる側、患者:診られる側」という主従的関係(パターナリスティック)ではなく、我々医療者と信頼関係が生まれ治療が終わったときに「自分の歯は自分で守る」という意識が高くなります。
このような関係でありませんと「患者さん特有の私の歯周病」は解決しないのが現実なのです。

②治療の流れが違う
他の歯科医院との最も大きな違いが、この治療の流れでしょう。
当院では、ひとりの患者さんに対し、診療時間を30分から1時間取るようにしております。これはコミュニケーションを充分とり、リラックスして治療に臨んでいただきたいからです。
本当に自分にとって歯周病を治すには、何の治療が必要か手に取るように納得し、理解できるようになります。
ステップ1 精密検査(Examination)
口全体の総合的な精密検査に基づく治療計画によってはじめて快適なお口の健康を、末長く得ることが可能になります。
また、この検査は私達医療者が一方的にあなたのお口の状態を淡々と検査するのではなく、私達と一緒にあなたの現在の状態を把握して今まで悪化してきた原因を探求していきます。
そのために3回(3時間)を使って精密な検査を進めていきます。
ステップ2 歯周病治療プログラム(お口の健康を守るステップ)

このプログラムはただ歯を磨くことを練習するだけでなく、我々スタッフがあなたのお口に健康が戻り、その健康を生涯維持することができるように知識と情報を提供する大切なステップです。
治したのにまた悪くなり、また治す。その繰り返しの結果、歯の神経を失ったり、歯が欠けてしまったり、気が付くと歯を失っているのです。歯周病になっているということはあなたのお口の中が火事になっているのと同じになっているのです。
あなたは大工を呼び、家を建て直そうと思っていませんか?大工よりまず消防士。そう、歯周病という火を消すことが先決なのです!この治療が終了する頃には、健康に一歩近づいたご自分のお口に気が付かれることでしょう。
③使用する機械・器具が違う
Nd:YAGレーザー
- 歯周病でドロドロになっている歯ぐきの内部をレーザーで焼いてしまう(蒸散)ことで、新鮮な歯ぐきを復活させることができる。また、歯石もレーザーで取れやすくなる。
- レーザーをあてることで歯ぐきのコラーゲンも復活するので、歯ぐきが肉厚で丈夫になって歯周ポケットも浅くなっていく。
- さらに、エナメル質にもレーザーをあててフッ素を塗ることで、通常より10倍ほど酸に溶けにくくなる。
- 結果として、歯周外科手術や歯周内科療法などを行わなくても良いケースが多い。
- 通常のレーザー機器の約3倍の価格のため、導入している歯科医院は少なく、横浜市南区では長島歯科クリニックにしか置いていません。
P-MAX
- 超音波スケーラーのさらに微細なもので北海道大学の姫野教授が推奨している。このP-MAXでのスケーリングは、歯石を除去する効果が高い。(はじめはその効果にビックリしたくらい)
- このP-MAXによって改善したことで、歯周外科手術まで至らないケースも多い。
- ただし、歯の根の先が曲がっている場合、その先まで届かないケースもあるので、単一での使用には限界がある。
EO水
- 人体の健康には影響のない強酸性水で、微生物を不活性化、あるいは、死滅させる効果がある。歯周病菌にも有効。
- 器具の滅菌・消毒のみならず、お口の中の洗浄、口内炎、歯周炎によるポケット内、根っこの治療などに幅広く利用。
ステリHCIO
- 近年、マスコミやテレビの健康番組等で歯周病の特集などでも取り上げられている次亜塩素酸水の生成器。
- 次亜鉛素酸には自己免疫由来の殺菌成分があり、生体安全性が極めて高く、10年以上の研究開発が進められておりまたこの殺菌効果が様々な分野で証明されつつあります。
- 歯周ポケット、根管内の洗浄・除菌に機能を特化した機能水で、生成直後約480ppmの次亜塩素イオン(OCl-)が歯周ポケット・根管内のタンパク質やバイオフィルムを溶解・破壊した後に、約20ppm次亜塩素酸(HClO)が除菌をするため、効率よく除菌することが可能。
- PH9.0(弱アルカリ)。スケーリングなどで使用する場合、脱灰の危険性も少ないので、安全かつ、効率よく使用することでできる。
高齢の患者さんへの歯周病治療で気をつけること
65才以上の高齢者人口は3461万で総人口の27.3%となっています。一日30人の患者が来院すれば8人の方が高齢者になる訳ですから結構な数になります。
先日高齢者(80さん)の対象となる患者さんから入れ歯はつらいのでインプラント治療を相談されました。
長島歯科クリニックとして歯周病治療の際に何に気をつけるかといいますと、それは?
1)全身の健康状態(血圧はいくつか?・糖尿病になっているか?どんな病気を患っているか?)
2)どんな薬(ビスフォスフォネート製剤・抗凝固剤等)を飲んでいるか?
をお聞きしました。
2)の詳細
(1)骨粗鬆症の治療に使用されるビスフォスフォネート製剤は抜歯・インプラント治療にあたって顎骨壊死の危険性が高まるといわれます。
(2) 脳血栓や心筋梗塞の再発予防に使用されるワーファリンやバイアスピリンの抗凝固剤は血をかたまりにくくするくすりなので抜歯や出血を伴う治療には注意が必要です。
患者さんも2)の事はほとんど知らないのは無理もありません。この事実についてお話をすると
「若い頃にもっと歯を大事にしておけばよかった」
とおっしゃっておりました。
歯周病が進んでグラつきだした歯は、次々と抜歯対象となり、そのたびに入れ歯が大きくなり食事も美味しくなくなり辛い日々を過ごす事が多くなります。
悔いを残さないためにも、今からできる最善の歯周病治療の方法を長島歯科クリニックとして微力ながら提供していきたいと思っております。
【参考文献】
日本口腔外科学会
統計トピックスNo.103 統計からみた我が国の高齢者(65歳以上)
歯を失う原因第1位 歯周病 – 沖縄県歯科医師会
予防プログラムと従来型ブラッシング指導の違い

横浜南区で歯周病治療に携わっていて、以下の事を患者さんが私(長島)に訴えてきた従来型ブラッシングのワースト4です。

1,毎回歯医者に行くたびに、 先生から磨け磨けと言われるから行かなくなった
2,自分ではちゃんと歯みがきしているのに怒られるので、嫌になった。
3,虫歯治療で来ているのに、 ブラッシング指導を強要された。
4,毎月クリーニング(PMTC)をしてもらっているのに、 なんでもっと磨けと言われるのか?
我々歯科の先生やスタッフが患者さんの歯や歯ぐきの事を考えて、
患者さんにとって良いと思う行為が治療を受ける患者さんにとって逆効果になる場合が多いのです。
これは、EBM(Evidence-Based-Medicine:医学的根拠に基づく医療)の弊害です。
エピソードⅠ
治療終了後に1年経ってから、新たに一本虫歯ができて治療が必要になった時です。
患者さんから「長島先生に言われた通りにメンテナンスに来ているのに、虫歯ができるのはおかしい・変だ!」と言われ
私(長島)は「○○さんが家でのケアが十分でないから虫歯になったのですよ!」と上記のEBM(科学的根拠に基づく医療)で治療の説明や必要性も伝えました。
すると怒って帰ってしまい、来院が途絶えてしまいました。
すべては私(長島)の責任で患者さんの気持ちを「自分の歯や歯ぐきは自分の責任で守る」まで高めることができなかったからなのです。
専門的な視点でもあるEBMが、患者さんとの信頼関係を一瞬で壊したのです。
この教訓をいかして、長島歯科クリニックの歯周病治療として洪水のように氾濫するメディアやネットからの誤った影響で、歯周病予防だけでなく虫歯予防には
A)患者さんの積極的な参加(モチベーションの向上、自分の歯は自分で守る意識)
B)生活習慣の改善を伴って日常生活における努力(セルフケア)
が絶対に必要不可欠である、という結論に至りました。

この2つの事に着目して構築したのが長島歯科クリニックオリジナルのNBM(Narrative-based-Medicine)の考えを取り入れていた歯周治療予防プログラムなのです。
このNBMとは患者さんとの対話と信頼関係を重視して、科学的根拠である医学と患者さんとの溝(Gap)を埋めるものであります。
歯周病治療の成功の鍵=クリニックでの治療行為/日常生活での努力(セルフケア・ホームケア)
上記にありますように、歯周病治療の成功の鍵はセルフケア・ホームケアが土台となって初めてクリニックでの治療が成功するのです。
長島歯科クリニックにおいての歯周病治療コンセプトはNBMを取り入れ患者さんのセルフケア・ホームケア能力を高めることでクリニックでの治療成績を高めております。
【参考文献】
NBMとEBMは、こうイメージすれば理解しやすい!
歯周病予防の為にセラミック装着を間違えると大変!!

こちらの写真の患者さんは上下前歯に沢山のセラミックをいれた直後から歯ぐきが良くならないとの理由で来院されました。
多くの時間をさいて歯ブラシとデンタルフロスをして頂いておりますが改善されておりません。
その原因は装着したセラミックにありました。
原因



① レントゲンで見るとセラミックが自分の歯よりも大きい
② 自分の歯とセラミックの境目にすき間が開いている
下矢印
③ ①と②の結果としていくら磨いても歯垢(プラーク)が取り除けない。
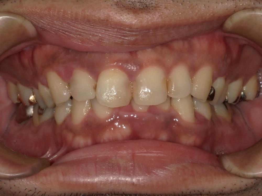
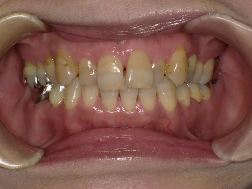
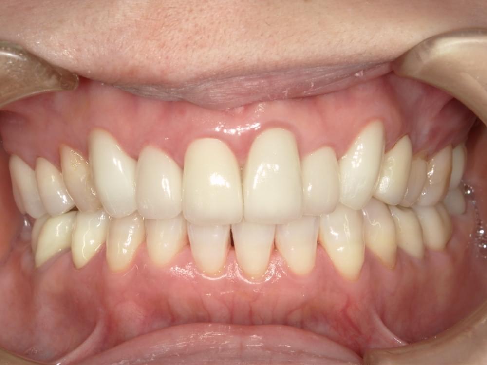
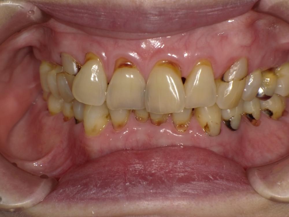
歯周病治療プログラムの治療例1






治療の概要
治療内容
行動科学に基づき、「自分の歯は自分で守る」という意識改革や行動変容を促しながら、スケーリングや歯ブラシ・フロス指導を行いました。
治療期間・回数・時間
1.5ヶ月・5回・計5時間
費用
29,500円+税
リスク・副作用
歯肉の痛み・出血
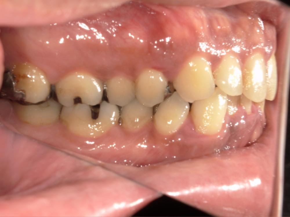
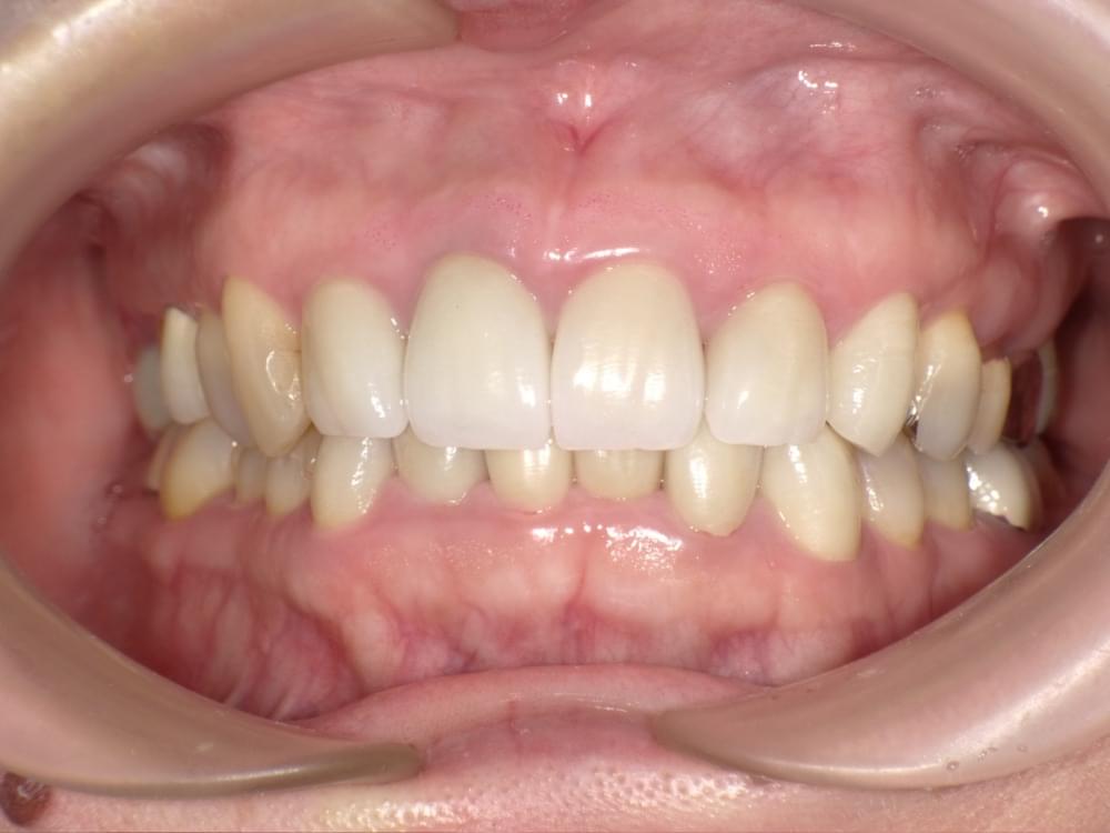
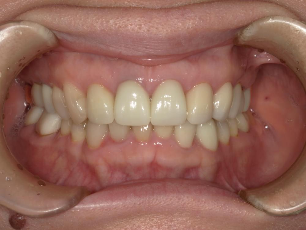
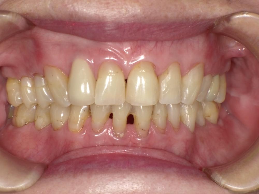
歯周病治療プログラムの治療例2
歯ぐきが下がってきた理由が分かりました!
歯ぐき下がりとかぶせ物の関係




治療の概要
治療内容
精密検査→歯周病治療プログラム→セラミック治療
※歯周病治療プログラムは行動科学に基づき、「自分の歯は自分で守る」という意識改革や行動変容を促しながら、スケーリングや歯ブラシ・フロス指導を行いました。
治療期間・回数・時間
6ヶ月・18回・計18時間
費用
精密検査 18,000円+税
歯周病治療プログラム 29,500円+税
セラミック治療(95,000円+税)×6本
リスク・副作用
歯肉の痛み・出血
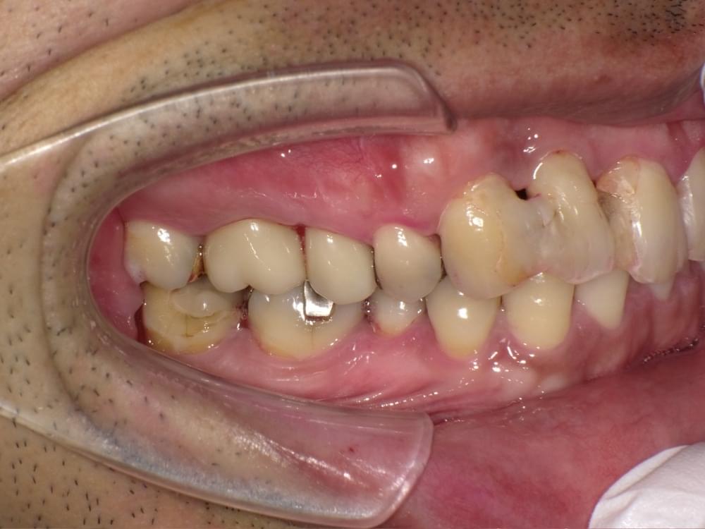
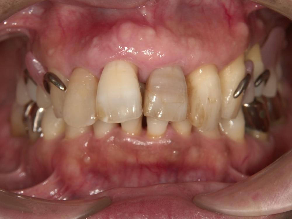
歯周病治療プログラムの治療例3
レーザーとCTといった他院にはない設備があるから他の医院ではやってくれない所をやってくれそうと来院。他院では丁寧にやってくれなかった。
けれどこちらではすごく丁寧にやってくれているとHPを見て分かった
私:長島からの提案として
もちろんですが虫歯治療や歯周病治療にはレーザー治療や精密に診断するにはCT(コンピューター断層撮影)が大丈夫です。
その前になぜ虫歯や歯周病になってしまうのかの根本的な原因を調べる必要があることを患者さんに伝えました。




治療の概要
治療内容
行動科学に基づき、「自分の歯は自分で守る」という意識改革や行動変容を促しながら、スケーリングや歯ブラシ・フロス指導を行いました。
治療期間・回数・時間
1.5ヶ月・5回・計5時間
費用
29,500円+税
リスク・副作用
歯肉の痛み・出血
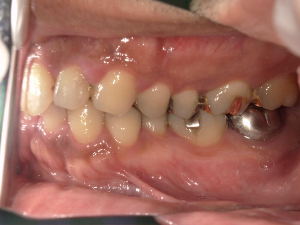
歯周病治療プログラムの治療例4
- 歯の根元が割れていると言われ抜歯が必要と言われた
- 全てのセラミックを入れている箇所で歯周病になっていると2,3年かよっているがよくならない。
せっかくセラミックを入れれば良くなるかと思ったのにショック
私(長島)からの提案として
なぜ歯周病になってしまうのかを根本的に調べたほうがいいですよと伝えた。
歯周病になってしまうのは、患者さんはブラッシング方法がダメだからっと思っている方が多いが、中にはブラッシングをあまりしなくても歯周病にならない方がいますし、逆に1日3回ブラッシングしても歯周病が改善しない方がいますので、○○さんの歯周病になった原因を特定したほうがいい。
まずは精密検査をされて、○○さんの歯周病を見つけることが最優先課題とお伝えしました。




治療の概要
治療内容
行動科学に基づき、「自分の歯は自分で守る」という意識改革や行動変容を促しながら、スケーリングや歯ブラシ・フロス指導を行いました。
治療期間・回数・時間
1.5ヶ月・5回・計5時間
費用
29,500円+税
リスク・副作用
歯肉の痛み・出血
歯周病治療プログラムの治療例5



治療の概要
治療内容
行動科学に基づき、「自分の歯は自分で守る」という意識改革や行動変容を促しながら、スケーリングや歯ブラシ・フロス指導を行いました。
治療期間・回数・時間
1.5ヶ月・5回・計5時間
費用
29,500円+税
リスク・副作用
歯肉の痛み・出血
歯周病治療プログラムの治療例6




治療の概要
治療内容
行動科学に基づき、「自分の歯は自分で守る」という意識改革や行動変容を促しながら、スケーリングや歯ブラシ・フロス指導を行いました。
治療期間・回数・時間
1.5ヶ月・5回・計5時間
費用
29,500円+税
リスク・副作用
歯肉の痛み・出血
歯周病治療プログラムの治療例7



治療の概要
治療内容
行動科学に基づき、「自分の歯は自分で守る」という意識改革や行動変容を促しながら、スケーリングや歯ブラシ・フロス指導を行いました。
治療期間・回数・時間
1.5ヶ月・5回・計5時間
費用
29,500円+税
リスク・副作用
歯肉の痛み・出血
歯周病治療プログラムの治療例8



治療の概要
治療内容
行動科学に基づき、「自分の歯は自分で守る」という意識改革や行動変容を促しながら、スケーリングや歯ブラシ・フロス指導を行いました。
治療期間・回数・時間
1.5ヶ月・5回・計5時間
費用
29,500円+税
リスク・副作用
歯肉の痛み・出血


