無呼吸症治療

睡眠時無呼吸症候群とは?
睡眠時無呼吸症候群(Sleep Apnea Syndrome ※以下SAS)とは、睡眠中に無呼吸状態が1時間に5回以上(もしくは7時間に30回以上)繰り返される病気です。
SASによって適切な睡眠がとれていないと、肥満や高血圧などの生活習慣病を誘発し、心筋梗塞や脳梗塞、糖尿病といった命に関わる病気のリスクも高めてしまいます。
SASの原因のほとんど(95%)は、肥満や下顎の狭小・扁桃腺(アデノイド)の肥大などによって喉や鼻の奥の空気の通り道が極端に狭くなることで引き起こされます。この原因から引き起こされる無呼吸症を特に『OSAS(閉塞性睡眠時無呼吸症)』と呼び、当院ではこのOSASに対する治療を提供しています。
閉塞型睡眠時無呼吸症(OSAS)の治療法
OSASの治療方法には、生活習慣の改善や内科的治療、もしくは外科的治療などがあります。歯科においては、下記のアプローチによって症状の防止を図ります。
マウスピース療法(スリープスプリント)

当院にてOSASの発症を防ぐためのマウスピース(スリープスプリント)を作製し、就寝時に装着していただきます。マウスピースの装着により、舌や下顎を上顎よりも前方方向へ固定し、喉奥の気道スペースを広げることで気道の閉塞を防ぎます。

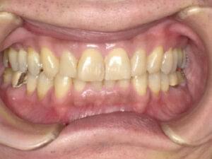
マウスピース装着前

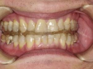
マウスピース装着後
マウスピースを夜眠る前に装着すると下顎の位置が数ミリ前方へと移動させるため、それに伴い舌も前方に移動させられるので気道に空気が通りやすくなります。
スリープスプリントの注意事項
継続的効果を判定する上で、6か月に一度の定期的なチェックが必要です。
以下にチェックリストを挙げておきます。
- 残存歯がスリープスプリントの固定源となるので、虫歯と歯周病のチェックを怠らないようにすること
- 顎関節異常を起こしていないか
- 起床時に違和感がないかどうかの確認
- 口呼吸をしていないか
- 歯ぎしりをしているとスリープスプリントが摩耗してくるので鋭利になっていないかどうか
- スリープスプリントは長期間使用で汚れてくるので、こまめに汚れを取ること
治療の効果について
当治療法の有効性は認められており、内科的・外科的治療と比べて安価なメリットもあります。さらに、マウスピースは小さく軽量なので、出張時やご旅行の際にも持ち運びやすい特徴があります。
ただし、以下のケースに当てはまる方は当治療を適用することができません。あらかじめご了承ください。
- 健康な歯が無い方
- 歯周炎がひどい方、また虫歯が多発している方
- 顎関節症の方

参考文献「スリープスプリント療法」
編著 中川健三(砂書房)
画像は長島が15年前に研修会で購入した参考書です。


