予防治療

予防治療

予防治療について

予防治療について

欧米では虫歯や歯周病にならないように積極的に歯科医院を活用しています。日本人が持つ歯科医院のイメージは、「歯が虫歯になったら行くところ」ですが、欧米の 予防治療の先進国では「虫歯や歯周病にならないため、日頃の歯の手入れをするところ」という考えです。結果的に70歳での平均残存歯数に大きな差が出ています。

歯は一度失うと二度と生えてくることはありません。ずっと健康的な自分の歯で美味しくごはんを食べたい方は、今から予防を始めましょう。
歯を長年にわたって健康な状態で維持するには、日頃の予防やメンテナンスが重要です。 せっかく治療が完了しても、日常的なケアをおろそかにしてしまえばまた虫歯や歯周病になり、悪循環を繰り返すばかりです。

当院では年に2回から4回の定期的な検診をお勧めしております。

処置歯数(治療してある歯数)65~74歳、喪失歯数の割合、一人平均現在歯数

処置歯数(治療してある歯数)65~74歳、喪失歯数の割合、一人平均現在歯数

日本は治療してある歯数が8.1本とトップでスリランカは0.1本ですが、なんと喪失歯数と残存歯数がスリランカと同じレベルなのです。

このグラフからもわかるように歯は痛くなったら歯科医院にいけば行く、歯は悪くなったら治療すればいいという考え方では、気がついたら歯を失う結果につながります。

長島歯科クリニックがこの予防的診療システムで行っている理由

長島歯科クリニックがこの予防的診療システムで行っている理由

一人平均残存歯数(永久歯)、数値で見る平均歯数処置歯数(治療してある歯数)65~74歳、喪失歯数の割合、一人平均現在歯数のグラフを見ていただいてお分かるように治療中心では防ぐことは難しいのが現状です。 私(院長)はなるべく歯を残したい、できれば歯は削りたくない。治療したとしてもいったん悪くしてしまった歯は治療していない歯と比べると寿命が短くなってしまいます。

川村先生(パンキー臨床哲学)との衝撃的な出会いからはや20年間このシステムで行ってきましたが確実に患者さんの歯が長持ちできているのが実感できます。

当院で行う『80歳になっても健康な歯を維持していただくための3つの対策』

皆さんの虫歯や歯周病が良くなって、現状がずっと長持ちしてもらう事が患者さんや我々医療者も幸せなことだと思います。 当院では皆さんに80歳を過ぎても健康な歯を維持していただくため、以下のご提案をしています。

1.ギャップを埋める(患者さんと医療者との意識の差)

患者さんの都合に合わせると治療の質の低下の恐れがあります。治療の前に知識を持ってもらわないと患者さんにとって不利益になります。

当院のカウンセリングの詳細

2.自分の口の中を知る(精密検査)

3.歯周病治療プログラムの実施

これら3つを実施することでいつまでもいい状態が続くスタートラインに立つということになります。これが長島歯科の3本の矢です。

当院で行う『80歳になっても健康な歯を維持していただくための3つの対策』

予防プラグラムではまず顕微鏡を使って、口腔内のばい菌をお見せします。現状を把握することにより患者さんの歯の状態を認識していただきます。
その後、染め出し液を利用し汚れを確認します。
正しいブラッシング指導を行い、フロスで仕上げていきます。この流れを習慣づけることが大切なのです。

正しいブラッシング方法とは?

歯を虫歯や歯周病から守るもっとも基本的な方法は、プラークコントロールです。プラークコントロールとは、適切なブラッシングを継続的に行うことで口内の細菌量をコントロールし、お口の中を健康に保つ予防管理を意味しています。 正しいブラッシング方法を継続して行えば、即効性はなくとも、長期的には必ず歯を長持ちさせることに繋がります。

正しいブラッシングのポイント

歯ブラシの毛先を磨くポイントにしっかりとあてます。 あまり力を入れすぎず、軽く磨きましょう。 歯ブラシは小刻みに動かします。 1ヶ所あたり10回~20回程度磨くことでキレイになって

ブラッシング方法は10種類あります

  1. 歯ブラシを縦におろす縦みがき
  2. 歯ブラシを横に動かす横みがき
  3. 歯ブラシの側面を歯ぐきに当てて、回しながら磨くローリング法
  4. 歯ブラシの先を左右小刻みに動かすスクラッビング法
  5. 歯ブラシで円を描くように磨くフォーンズ法
  6. 柔らかい毛のブラシを使い、歯ぐきを磨くバス法
  7. 歯と歯の間・歯とはぐきの間を磨くチャーターズ改良法
  8. 歯ブラシの側面で歯ぐきをマッサージするように磨くスティルマン改良法
  9. 歯ぐきが後退し始めた人に対しては、歯ブラシを歯に被せるように磨くゴットリーブ法
  10. 1歯ずつ磨く方法

当院では患者さんのお口の状況によって、適切なブラッシング方法をご指導いたします。

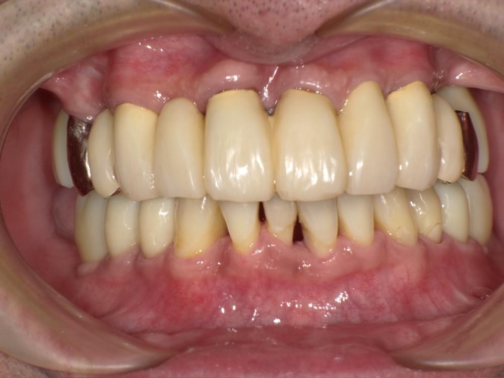
保険メンテナンス例

歯周病治療プログラムの治療例9

この患者さんは、横浜市内でインプラント治療の分野では広く知られている、非常に有名な先生のもとで治療を受けられた方です。
当院では、その後のメンテナンスのみを担当しております。

もともとは他院でメンテナンスを受けていたものの、担当の先生や歯科衛生士とのコミュニケーションがうまく取れなかったこと、またメンテナンス費用が高額だったこともあり、お越しいただきました。

ご来院時には、
「こんなに先生とお話したのは初めてで驚きました」
「前の医院と比べると、コミュニケーションにかけてもらえる時間が2倍近くあり、安心しました」
といったお言葉をいただいております。

当院では、治療後の経過観察やケアにおいても、患者さんとの対話を大切にし、不安や疑問に丁寧に寄り添うことを心がけています。

保険メンテナンス例
保険メンテナンス例
保険メンテナンス例
保険メンテナンス例

治療の概要

治療内容

保険のメンテナンス

治療期間・回数・時間

1回30分を3ヶ月ごと(現在も継続中)

費用

保険診療

リスク・副作用

歯肉の痛み・出血

歯科のホームページ制作|沖縄トランプ株式会社

© 長島歯科クリニック