補綴(詰め物・被せ物)

美しい歯のお手伝い

当院ではホワイトニングや補綴物(歯の被せ物)などにより、あなたの白く美しい歯列を実現するためのお手伝いを行います。
歯の美しさを取り戻すだけではなく、あなた自身が持つ本来の美しさや魅力を引き立たせることにも繋がるでしょう。しかし、一方で美しい歯にするだけでは不十分です。一つひとつの歯が正しい機能を持ち合わせているか追求する必要があります。
また、施術方法や治療に用いる素材などの違いにより価格が異なります。患者さんの理想とご予算等をしっかりとうかがい、最も適した治療方法をご提案いたします。
補綴物(歯の詰め物・被せ物)について
補綴とは虫歯などの治療の後に歯に装着する 詰め物や被せ物を指します。補綴物には金属やプラスティック、クラウンなど様々な種類があります。保険適用のものもあれば、保健適用外の補綴物もあります。
また、審美的な理由だけでなく歯茎との適合性など、使用する補綴により異なります。当院では患者さんの状態にあった補綴物をご提案いたします。
当院で取り扱う審美補綴材の種類
歯を修復する補綴物(ほてつぶつ)には、クラウン(被せ物)とインレー(詰め物)があります。当院では、患者さんのご要望やご予算に応じて、様々な症例に適した補綴物をご用意しています。
なお、通常の歯科治療よりも見た目の改善を重視される患者様には、セラミック・ホワイトニング・矯正治療(専門医が診療)といった様々な治療方法の中から患者さんへご提案し、最善の審美治療を行っています。
ジルコニアとハイブリットの比較
2010年にハイブリッドレジンをフロスが引っかかるのと吸水性による着色が気になる事でジルコニアセラミックによる治療を行いました。2023年になった今でも着色も無く歯ぐきの黒ずみも無いまま使用できています。
当院ではこのような着色やフロスの引っかかりを防ぐ為にもハイブリットレジンでの治療は患者さんからの要望が無い限りはオススメしていません。なぜならお金の無駄遣いになるからです。


治療の概要
治療内容
四国で看護学校を出て横浜で就職する際に四国の病院で治療(少しでも費用の安いものを選んだようです)。
その時に四国の先生から「色が変わるよ」と説明を受けていたものの、数年でこんなに変わるとは思っておらずショックだったようです。
また、その時はフロスの事も教えてもらっていなかったとのことです。その為、今回当院で治療をやり直してフロスの事をお伝えしました。
治療期間・回数
6カ月・12回
費用
ジルコニアセラミック(95,000円+税)×6
仮歯(3,000円+税)×6
リスク・副作用
経年的な劣化とともに、補綴物が破損する可能性があります。
審美補綴材の特徴・費用
ハイブリッドレジン
ハイブリッドレジンとは、保険適用のレジンと保険適用外のセラミック材料を混ぜ合わせた、セラミックとレジンの中間的な素材です。レジンの欠点である変色しやすさがセラミックによってカバーされ、硬さも丁度良いため、周囲の歯を傷つけることがありません。もちろん、金属も使用していないためアレルギーの心配もありません。ただし、セラミック材料よりも透明感は減少します。
料金
詰め物 38,500円(税込)
被せ物 77,000円(税込)
オールセラミック(ジルコニアマルチレイヤード)(イーマックス)
生体親和性が高く、天然歯に近い透明感と色の再現性に優れます。前歯など見た目を重視する部位に適しています。
近年は材料の改良により強度も向上しており、従来より割れにくくなっていますが、ジルコニアと比較すると破折リスクはやや高く、強い噛みしめや歯ぎしりがある方は注意が必要です。
また色は選択できますが、バリエーションは3色程度と限られます。
料金
詰め物 66,000円(税込)
被せ物 104,500円(税込)
フルジルコニア
ジルコニアは非常に高い強度をもつジルコニアのみで作る補綴物です。
破折しにくく、奥歯や噛む力が強い方、歯ぎしりのある方に適しています。金属アレルギーの心配がなく、生体親和性も良好です。
見た目はオールセラミックよりやや不透明ですが、近年は色調調整タイプの登場で自然な仕上がりも期待できます。適切に研磨された場合は対合歯の摩耗も少ない傾向があり、変色しにくく長期的に安定しています。ただし、オールセラミックより選べる色は少ないです。
料金
被せ物 104,500円(税込)
| オールセラミックス | フルジルコニア | |
|---|---|---|
| 材料 | ガラスを多く含むセラミック(例:e.max など) |
ジルコニア(人工ダイヤにも使われる非常に強い素材) |
| 見た目 | とても透明感があり、天然歯に近い美しさを再現しやすい | やや透明感が少ないが、色調調整タイプは近年見た目もかなり良くなっている |
| 強さ | ある程度強いが、ジルコニアよりは割れやすい | とても強く、割れにくい |
| 適している場所 | 前歯など「見た目が大事なところ」 | 奥歯や噛む力が強い人 |
| メリット | 自然な透明感・色の再現が優秀 | 非常に高い強度、欠けにくい |
| デメリット | 強度はやや弱い。強い噛みしめがある人は割れのリスク | オールセラミックスに比べるとやや不透明で、前歯の繊細な色再現には不向きなことがある |
ジルコニアセラミック
セラミックの美しさとジルコニアの頑丈さを合わせ持つ素材です。金属を使っていないため、透過性が非常に高く、天然歯のような美しい仕上がりになります。アレルギーや変色の心配もない、優れた補綴素材です。
料金
130,000円〜(税込)
リスクと副作用について(保険外治療)
保険外の治療においては「高価である」「極端に強い衝撃で破折する」などのデメリットを伴う場合があります。そこで、長島歯科クリニックではそれぞれの治療方法について『メリット・デメリット』をご説明させていただいた上で治療を行っています。ご不安な点などはどんなことでもご相談ください。
セラミック治療例
フロスで歯垢管理ができるように、セラミック修復物を直しました。


治療の概要
治療内容
以前治療してもらったセラミック修復物が歯垢管理がうまくできない事が歯周病治療プログラムで分かりましたので作りかえました。
治療期間・回数
3カ月・10回
費用
(95,000円+税)×5
リスク・副作用
経年的な劣化とともに、補綴物が破損する可能性があります。
セラミック治療例2
他院で歯石除去と歯周病防止のためのレーザー治療、フッ素を受けていたが、なかなか改善しなかった症例


治療の概要
治療内容
精密検査と歯周病治療プログラムと虫歯治療のためのセラミック治療。
治療期間・回数
2年間・27回
費用
精密検査 18,000円+税
歯周病治療 29,500円+税
セラミック治療(95,000円+税)×8本
リスク・副作用
経年的な劣化とともに、補綴物が破損する可能性があります。
金合金(PGA)治療例

治療後

治療から15年後
治療の概要
治療内容
歯周病の予防は「ブラッシングがすべて」と思われがちですが、実際には使用する材料の選択も重要です。
本症例は歯周病が進行していた部位のむし歯治療にあたり、金合金(PGA)を使用し、適切な材質を選択したうえで治療を行いました。
治療では、以下の基準に沿って材料と方法を決定しました。
第1ステップ:歯垢(プラーク)が付着しにくく、清掃管理がしやすい材料を選択した
第2ステップ:会話時に見える部位かどうかを考慮し、審美性を検討した
第3ステップ:噛む力に耐えられる強度があるかどうかを確認した
これらの点を踏まえ、長期的に健康と機能を維持できる治療を実施しました。
治療期間・回数
2ヶ月・4回
費用
・小さいタイプ金合金:45,000円+税(15年前当時)
・大きいタイプ金合金:80,000円+税(15年前当時)
※歯科で使用する貴金属の価格は、金相場変動により治療費が変動します。
最新の価格は受付までお尋ねください。
リスク・副作用
経年的な劣化とともに、補綴物が破損する可能性があります。
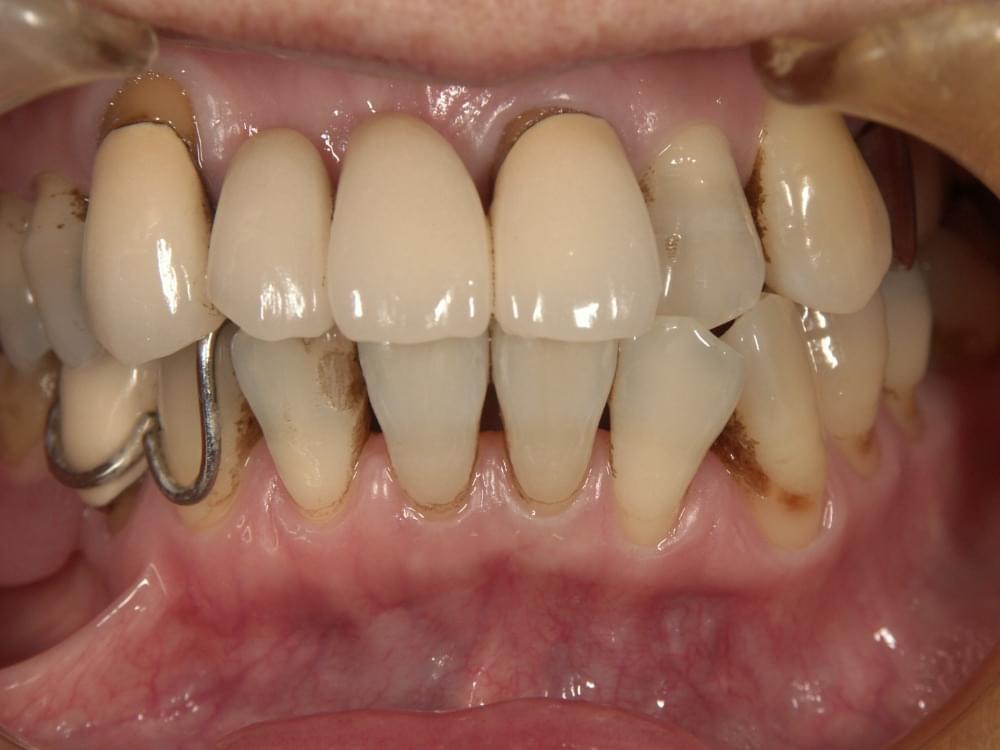
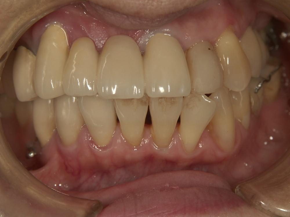
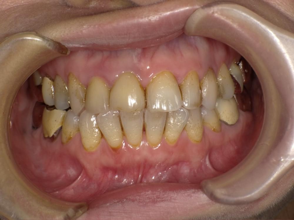
金合金(PGA)治療例2

治療前

治療途中

拡大
治療の概要
治療内容
この方は歯周病治療予防プログラムを受けて頂き、歯周病が進まなく詰め物が長持ちする治療方法を希望されました。
治療する場所と虫歯の大きさから判断して部分的なセラミックを勧められる場合が多いですが、金合金を選択しました。
治療期間・回数
1.5ヶ月・3回
費用
120,000円+税(R7,11月時点)
※歯科で使用する貴金属の価格は、金相場変動により使用する量により治療費が変動します。
最新の価格は受付までお尋ねください。
リスク・副作用
経年的な劣化とともに、補綴物が破損する可能性があります。


