矯正歯科

矯正歯科について

矯正治療は、不揃いな歯並びや噛み合わせがうまくいかない方、歯の健康や口もとのことでお悩みの方にお薦めしています。
見た目の改善だけでなく、よく噛めるといった機能の改善、また虫歯・歯周病の予防にもつながるお口の衛生状態を良好に維持できるような矯正を行っております。
当院では、目立たない矯正器具もご用意しております。お子様から大人の方まで治療できますのでお気軽にご相談ください。
歯列矯正の問題点は?
針金や装置を付けますから、虫歯ができやすいのが最大の欠点です。
改善策
・その1
当院においては矯正治療をする前にしっかりと予防プログラム(歯ブラシとフロス指導)を行っております。
・その2
虫歯が出来てしまいそうな時はレーザー治療で管理していきます。
(料金1歯2,200円(税込)~)
当院のご用意している矯正装置『デーモンシステム』について

当院では歯科先進国のアメリカで開発された矯正装置『デーモンシステム』を用いて、患者さんの歯並びを整えていてきます。
従来のワイヤー矯正とは異なり、デーモンシステムのブラケットはワイヤーを固定せずに挟み込んでいるだけなので、歯が動くとワイヤーもそれに合わせて自由に動きます。これにより、他の歯に圧力がかからず、 痛みが従来よりも少なくなります。
また、デーモンシステムは従来のブラケットよりもはるかに弱い力で歯を動かしますが、治療期間は従来の半分ほどの時間で終了することが多くあります。これは、生物学的に理にかなった方法で力をかけているからです。
このシステムは年齢や性別、噛み合わせの種類を問わず、幅広く適用可能な矯正方法ですが、でこぼこの大きい歯ならび(乱ぐい歯・叢生)や狭窄(狭く小さくつぶれた)した歯列の拡大には特に威力を発揮します。
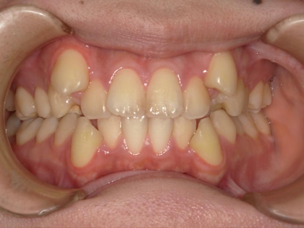
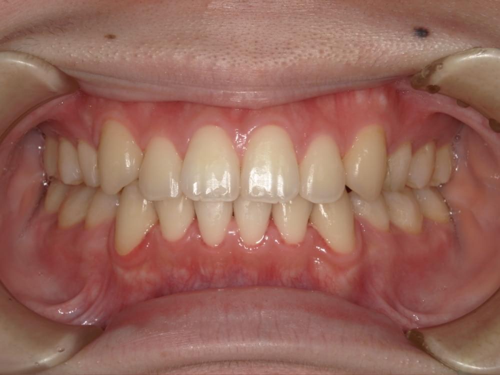
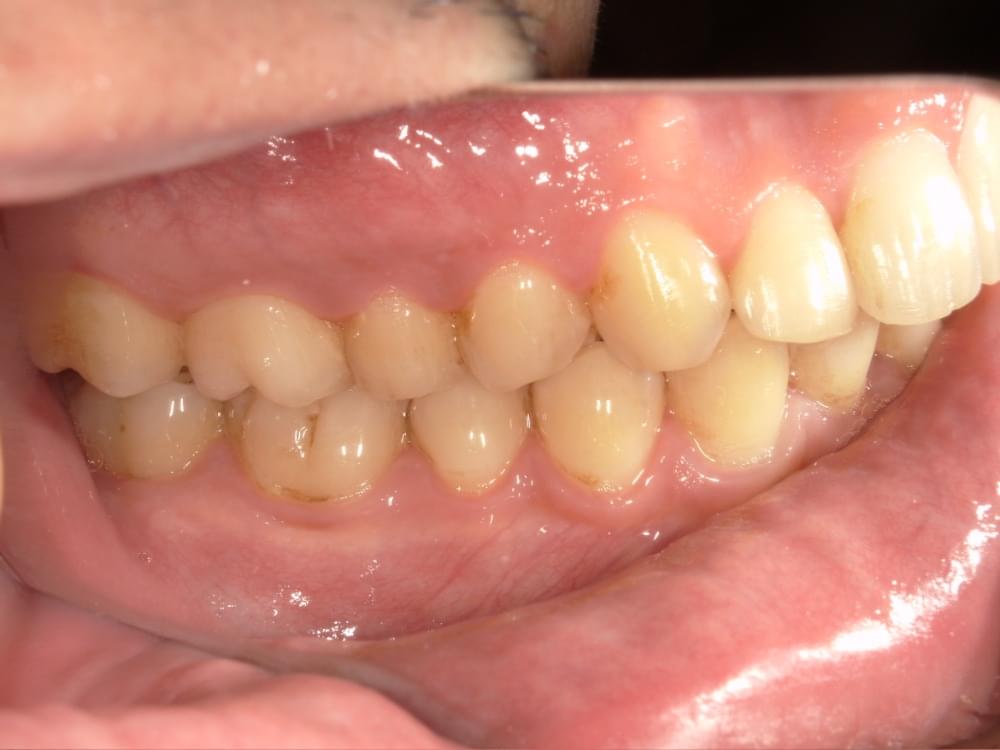
矯正歯科治療例


治療の概要
治療内容
抜歯矯正(歯並びを整えるために必要なスペースを確保する目的で、歯を抜いて行う矯正治療)
治療期間・回数
2年半・30回
費用
750,000円+税
リスク・副作用
一時的な痛み・違和感が生じます。
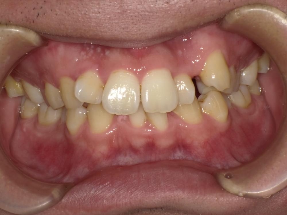
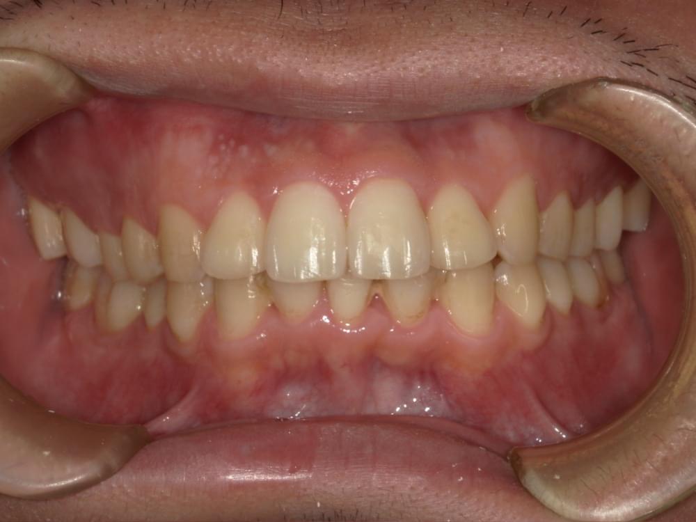
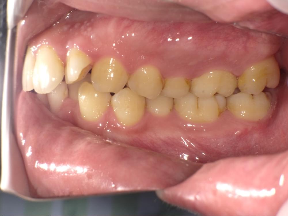
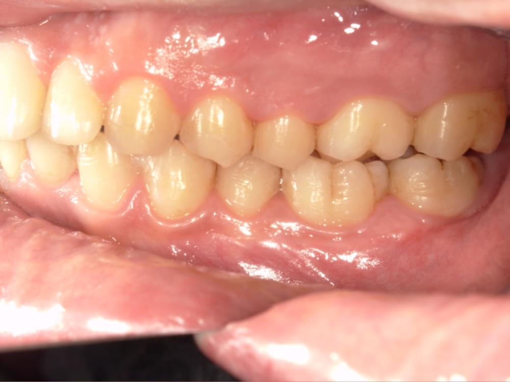
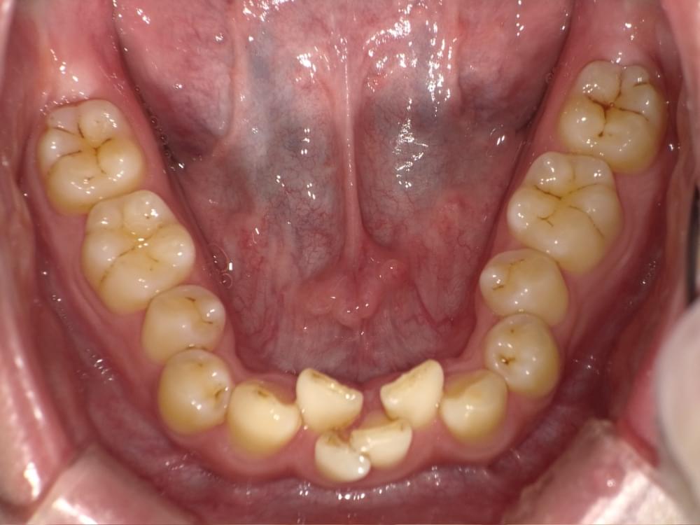
矯正歯科治療例2








治療の概要
治療内容
抜歯矯正(歯並びを整えるために必要なスペースを確保する目的で、歯を抜いて行う矯正治療)
治療期間・回数
4年半・50回
費用
750,000円+税
リスク・副作用
一時的な痛み・違和感が生じます。


