横浜南区弘明寺にあります長島歯科クリニックです。
今回は虫歯や歯周病から歯を守る為のメンテナンスについてお話いたします。
⑴何を行うのがメインテナンス(定期検診)の最優先か?
皆さんが歯科衛生士さんの指導の下で頑張って歯ブラシやフロス(歯間ブラシ)で
歯ぐきの腫れ・出血、歯のぐらつき、歯周ポケットの深さの改善等の歯周病症状が良くなったとしても
これでOK、治療が終了です!っとは残念ながら言えません!
メインテナンスの目的は
単に虫歯や歯周病の再発防止お口のクリーニング(口腔清掃)するものと思っている方が多いですが
![]()
①虫歯や歯周病の成り立ちを再度理解してもらい、正しい歯垢管理(歯ブラシとフロスを用いて)を実施してもらう
➁ブラッシングの仕方の再確認
③意識づけの確認(モチベーション維持・向上)
④患者さん自ら進んで歯垢管理をしてもらうようにサポートする。
この意識づけは一度患者さんに伝えたらずっと永遠に続かないものなのです。
治療中はあれほど歯垢(プラーク)について説明させていただいたのですが
お口の中の衛生状況が悪くなっている事があります。

私(長島)は担当する衛生士さんにメインテナンスでいらっしゃる患者さんの事前情報として
歯や歯ぐきだけに関心を持つのではなくて
その方の仕事や趣味や家庭や生活習慣(ライフスタイル)を伝えるようにしております。
![]()
それは虫歯や歯周病などの歯科疾患は生活習慣病といわれるからです。
担当する衛生士さんはメインテナンスでお越しになった患者さんに
一生懸命に口腔清掃を施しますが、しかしながらその努力が報われない事が多々あります。
衛生士さんは専門家ですからとかく歯や歯ぐきの問題ばかりを考えています。
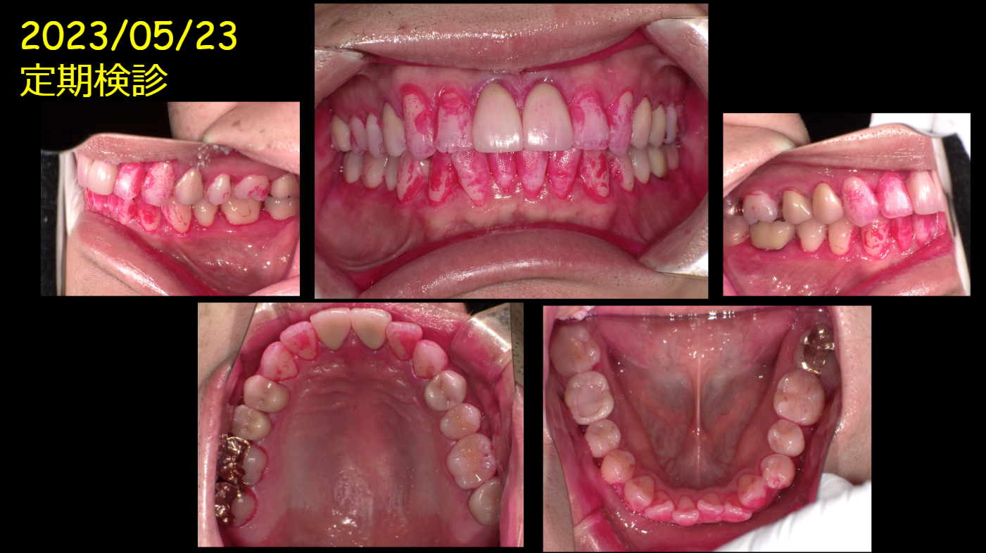
上記の写真の患者さんには
[せっかく治したのにどうしてもっとよく磨かないのですか?]
【これじゃ、また悪くなってしまいますよ!】
っと熱心な衛生士さんならばきっと伝える事でしょう!
![]()
そうではなくて、そこには
「仕事が忙しくて、家に帰ってもすぐに寝てしまった」
「歯ブラシを切らしてしまいコンビニの歯ブラシで磨いていた」
「行く予定だったがコロナが怖くて期間があいてしまった」
とその患者さん固有の「都合」があることに気が付きます。
このようにメインテナンスに来院される患者さんの都合を理解できれば
患者さんに対する見方も大きく変わり、その結果として
対応も個々で違ってきますね!
患者さんの心の叫びに気づき、先入観なく謙虚に耳を傾けることが
メインテナンス(定期検診)においての我々医療者には
絶対に必要です。



